-
발바닥통증의 원인 총정리카테고리 없음 2025. 2. 23. 20:57
목차
안녕하세요! 오늘은 많은 분들이 경험하는 발바닥 통증의 원인에 대해 알아보려고 합니다. 발바닥은 우리 몸을 지탱하고 이동하는 데 중요한 역할을 하는 부위이기 때문에, 통증이 발생하면 일상생활에 큰 지장을 줄 수 있습니다. 발바닥 통증의 다양한 원인을 살펴보고, 이를 예방하고 관리하는 방법에 대해 알아보도록 하겠습니다.






발바닥통증의 원인 발바닥통증의 원인
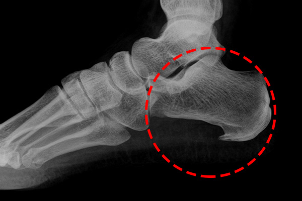
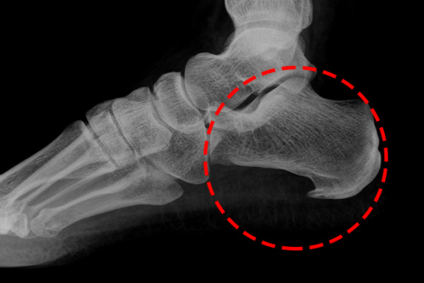
플랜타르 패시아염 (족저근막염)
- 발바닥의 아치에 위치한 두꺼운 섬유 조직인 족저근막이 염증이 생기는 질환입니다. 주로 장시간 서 있거나 걷는 경우, 혹은 비만으로 인해 과도한 압력이 가해져 발생합니다. 통증은 주로 아침에 일어났을 때 첫 발을 내딛을 때 가장 심하게 느껴지며, 점차 운동 후에도 나타날 수 있습니다.
발가락 신경종 (모튼 신경종)
- 발가락 사이의 신경이 압박을 받아 염증이 생기는 질환입니다. 주로 높은 굽의 신발을 신거나 발에 무리가 가는 행동을 반복할 때 발생합니다. 통증은 발가락 사이에서 타는 듯한 느낌이나 찌릿한 통증으로 나타나며, 종종 발바닥 쪽으로도 방사됩니다.






발바닥통증의 원인 발바닥 지방 패드 손상
- 발바닥에는 충격을 흡수하는 지방 패드가 있습니다. 이 패드가 나이가 들거나 지속적인 압력으로 인해 손상되면 발바닥에 통증이 발생할 수 있습니다. 특히 오래 서 있는 직업을 가진 사람들에게 흔히 나타납니다.
아킬레스건염
- 아킬레스건의 염증으로 인해 발생하는 통증으로, 발뒤꿈치와 발바닥 사이의 연결 부위에 통증이 느껴질 수 있습니다. 주로 격렬한 운동 후, 혹은 운동 부족 후 갑자기 운동을 시작할 때 자주 발생합니다. 통증은 특히 아침에 일어났을 때나 활동을 시작할 때 더 심해질 수 있습니다.






발바닥통증의 원인 발목 염좌
- 발목을 삐거나 부상을 당했을 경우, 발바닥에 통증이 나타날 수 있습니다. 이 경우에는 발목 주위의 부기나 통증이 함께 나타나는 것이 일반적입니다. 발목의 안정성이 떨어지면 발바닥에도 불편함이 전해질 수 있습니다.
발가락 변형 (무지외반증, 평발 등)
- 발가락의 변형은 발바닥의 정렬에 영향을 미쳐 통증을 유발할 수 있습니다. 무지외반증은 엄지발가락이 바깥쪽으로 휘어지는 상태로, 이로 인해 발바닥에 압력이 가해지고 통증이 발생할 수 있습니다. 평발은 아치가 낮아지면서 발바닥의 통증을 유발할 수 있습니다.






발바닥통증의 원인 관절염
- 류마티스 관절염이나 골관절염과 같은 염증성 질환은 발바닥 통증의 원인이 될 수 있습니다. 이러한 질환은 관절에 염증을 일으키며, 발바닥과 발목의 움직임에 통증을 초래할 수 있습니다. 통증은 아침에 심해지며, 활동 후에도 악화될 수 있습니다.
신경병증
- 당뇨병, 알코올 남용, 또는 특정 약물의 부작용으로 인해 신경 손상이 발생할 수 있습니다. 이 경우 발바닥에 찌릿한 느낌이나 통증이 나타나며, 종종 발의 감각이 감소하는 현상도 함께 발생할 수 있습니다.






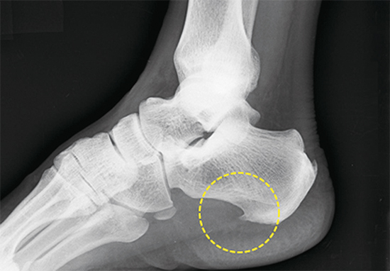
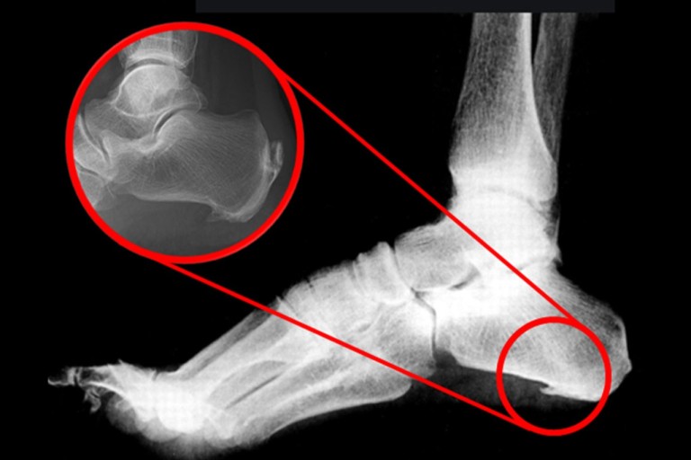
발바닥통증의 원인 고통성 족부 변형 (뼈 돌출 등)
- 발바닥의 뼈나 관절의 이상으로 인해 통증이 발생할 수 있습니다. 뼈의 돌출이나 과도한 뼈 성장(예: 발가락의 뼈가 튀어나오는 경우) 등이 그 예입니다. 이 경우 신발이 맞지 않거나 발에 가해지는 압력이 증가하여 통증이 유발됩니다.
부적절한 신발 착용
- 편안하지 않거나 발에 맞지 않는 신발을 착용하면 발바닥에 통증이 생길 수 있습니다. 특히 높은 굽이나 좁은 발목의 신발은 발바닥의 압력을 증가시켜 통증을 유발합니다. 발의 형태에 맞는 신발을 선택하는 것이 중요합니다.






발바닥통증의 원인 발바닥 통증 없애는 법
- 휴식
- 발바닥에 통증이 있을 때는 충분한 휴식을 취하세요. 장시간 서 있거나 걷는 것을 피하고, 발을 쉬게 해주세요.
- 얼음 찜질
- 통증이 있는 부위에 얼음찜질을 15-20분간 적용하여 염증을 줄이고 통증을 완화하세요. 얼음팩을 직접 피부에 대지 말고 수건에 감싸서 사용하세요.
- 스트레칭
- 발과 발목의 스트레칭 운동을 통해 근육과 힘줄을 이완시켜 통증을 완화할 수 있습니다. 특히 족저근막 스트레칭이 효과적입니다.
- 편안한 신발 착용
- 발에 맞는 편안한 신발을 착용하여 발바닥에 가해지는 압력을 줄이세요. 쿠션이 좋은 신발이나 아치 서포트가 있는 신발을 선택하는 것이 좋습니다.
- 체중 관리
- 과체중인 경우 체중을 줄이면 발바닥에 가해지는 압력을 줄일 수 있습니다. 건강한 식습관과 운동으로 체중을 관리하세요.
- 마사지
- 발바닥과 발목을 부드럽게 마사지하여 혈액 순환을 촉진하고 통증을 완화할 수 있습니다. 발 마사지 기구를 사용하는 것도 도움이 됩니다.
- 소염제 사용
- 필요할 경우 비스테로이드성 소염진통제(NSAIDs)인 이부프로펜이나 아세트아미노펜을 복용하여 통증을 완화할 수 있습니다. 단, 의사와 상담 후 사용하세요.
- 물리치료
- 통증이 지속될 경우 물리치료를 받아 전문적인 치료를 통해 통증을 완화하고 근력을 강화하는 것이 좋습니다.
발바닥 통증은 다양한 원인으로 발생할 수 있지만, 이를 제대로 이해하고 관리하면 예방할 수 있습니다. 오늘 소개한 내용이 여러분의 건강에 도움이 되길 바라며, 앞으로도 건강과 관련된 유익한 정보로 찾아올게요. 모두 건강하고 행복한 하루 되세요!
우슬뿌리 효능 및 부작용 10가지
안녕하세요! 오늘은 건강에 도움이 되는 우슬뿌리의 효능에 대해 알아보려고 합니다. 우슬뿌리는 예로부터 다양한 건강 효능을 지닌 자연의 선물로 많이 사용되어 왔죠. 특히 관절 건강이나 면
gksdu.wlwldksgdk.com
천마 효능 및 부작용 10가지
안녕하세요! 오늘은 천마에 대해 이야기해보려고 합니다. 천마는 오랜 역사와 함께 전통적인 한방에서 많이 사용되는 약재로, 여러 가지 건강 효능이 있어 많은 사람들에게 사랑받고 있는데요.
gksdu.wlwldksgdk.com
간에 좋은 음식 10 총정리
안녕하세요! 오늘은 간에 좋은 음식 10가지에 대해 알아보려고 합니다. 간은 우리 몸에서 중요한 역할을 하는 장기인데요, 건강한 간을 유지하려면 좋은 음식을 섭취하는 것이 중요합니다. 간에
gksdu.wlwldksgdk.com